Segmentação Inteligente para Radioterapia

Revolucione seu planejamento em radioterapia com nossa tecnologia de segmentação automática e IA.

Resultados Rápidos e Confiáveis

Obtenha segmentação precisa de órgãos em tomografias com integração DICOM e LGPD.

Otimização de Processos Clínicos

Aumente a eficiência dos profissionais com nossa solução inovadora e integrada.

Regiões disponíveis

O SegmentaR foca na segmentação automática das três regiões fundamentais para o planejamento de radioterapia: cabeça e pescoço, tórax e pelve. Essas são as regiões essenciais que todo profissional precisa para uma segmentação precisa e eficiente.

O SegmentaR oferece uma interface intuitiva e fácil de usar, garantindo uma integração fluida na rotina clínica sem adicionar complexidade ao processo de segmentação.

Sobre a plataforma

O SegmentaR* utiliza IA de última geração para realizar a segmentação automática de órgãos em imagens de TC.

Desenvolvido para profissionais de saúde, ele reduz o tempo de segmentação significativamente em comparação manual, garantindo maior precisão e segurança para os pacientes. Ideal para clínicas e hospitais que buscam integram tecnologia de ponta aos seus processo clínicos.

*Este software possui registro na ANVISA (REGISTRO 83339490001) comprovando sua eficácia e segurança de acordo com normas nacionais e internacionais

Segmentação Inteligente

Revolucione seu planejamento em radioterapia com nossa segmentação automática e inteligência artificial avançada.

Segurança e Privacidade

Obtenha resultados rápidos e confiáveis, totalmente integrados ao padrão DICOM e conforme a LGPD.

Modelo Treinado usando Deep Learning

Reduza erros e aprimore a precisão clínica com algoritmos avançados treinados com centenas de casos/TC de casos reais.

Integração e velocidade

black and silver electronic device
black and silver electronic device
Resultados Rápidos

Com o SegmentaR, você não precisa de uma GPU potente no seu computador! Nossa solução baseada em nuvem utiliza GPUs de alto desempenho para garantir segmentação rápida e precisa, sem complicações na instalação.

Integração DICOM

O software é totalmente integrado ao padrão DICOM, garantindo compatibilidade e segurança de dados conforme a LGPD, facilitando o fluxo de trabalho nas clínicas de radioterapia.

Cabeça e Pescoço

Mandíbula

Cérebro

Tronco Cerebral

Cavidade Oral

Cóclea Esquerda

Cóclea Direita

Esôfago

Olho Direito

Olho Esquerdo

Glândula Tireoide

Laringe

Cristalino Direito

Cristalino Esquerdo

Quiasma Óptico

Nervo Óptico Esquerdo

Nervo Óptico Direito

Parótida Esquerda

Parótida Direita

Medula Espinhal

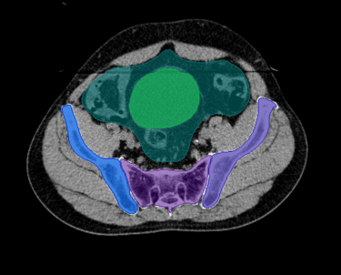
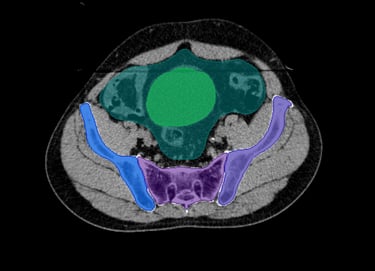
Pelve

Bexiga

Bulbo Peniano

Cauda Equina

Sacro

Fêmur Esquerdo

Fêmur Direito

Bolsa Intestinal

Reto

Ilíaco Direito

Ilíaco Esquerdo

Sínfise Púbica

Rim Esquerdo

Rim Direito

Tórax

Coração

Duodeno

Esôfago

Estômago

Fígado

Laringe

Medula Espinhal

Pulmão Direito

Pulmão Esquerdo

Rim Direito

Rim Esquerdo

Glândula Tireoide

Traqueia

Mama Direita

Mama Esquerda